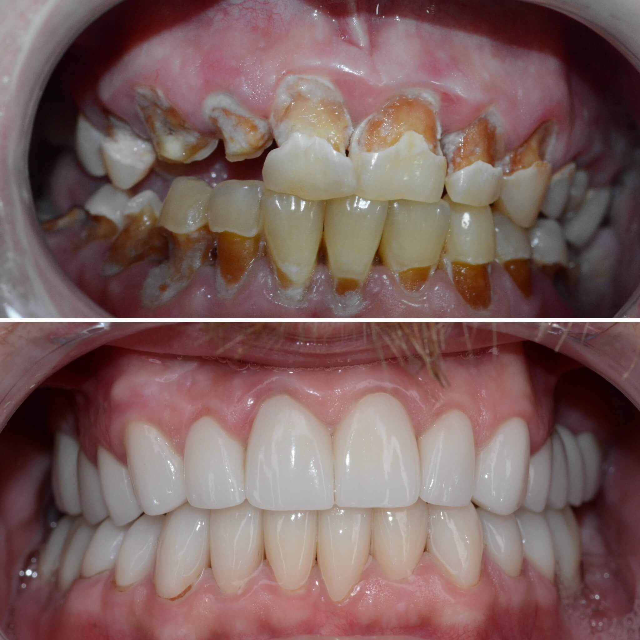
Pacientul s-a prezentat cu dinți uzați, colorați, pierderi de structură dentară și poziții inestetice. Disconfortul era atât funcțional, cât și estetic.
Pacientul s-a prezentat cu dinți uzați, colorați, pierderi de structură dentară și poziții inestetice. Disconfortul era atât funcțional, cât și estetic.
Rezultatul:
– zâmbet natural și echilibrat
– funcție masticatorie restabilită
– pacient complet schimbat – cu încredere recâștigată
Cu tehnologia potrivită și o echipă atentă la detalii, fiecare caz poate fi un succes.
Tratamentul a inclus:
– tratamente conservatoare și protetice
– amprentare digitală și modele precise
– coroane integral zirconiu
– ajustări estetice personalizate
Dr. Alina Pripici
Folosim cookie-uri pentru a ne asigura că vă oferim cea mai bună experiență pe site-ul nostru. Dacă continuați să utilizați acest site, vom presupune că sunteți mulțumit de acesta.
Scrie-ne pe WhatsApp